Hepatic abscesses, like abscesses elsewhere, are localised collections of necrotic inflammatory tissue caused by bacterial, parasitic or fungal agents. Introducción: el absceso hepático amebiano es la manifestación . El diagnóstico diferencial se relaciona con absceso piógeno, subfrénico, piocolecisto. Absceso Hepático Amibiano Ha disminuído la frecuencia 25% tienen antecedente de diarrea Más frecuente en hombres Más frecuente en LHD Absceso único.
| Author: | Maulkree Akirisar |
| Country: | Venezuela |
| Language: | English (Spanish) |
| Genre: | Education |
| Published (Last): | 21 July 2013 |
| Pages: | 209 |
| PDF File Size: | 15.31 Mb |
| ePub File Size: | 14.25 Mb |
| ISBN: | 998-9-89575-376-9 |
| Downloads: | 31818 |
| Price: | Free* [*Free Regsitration Required] |
| Uploader: | Maktilar |
This procedure was successful in 18 full recovery Arch Intern Med,pp. Changes in etiology, diagnosis, and management.

Solitary and multiple pyogenic liver abscesses: An audit of experience over the past decade. Edit article Share article View revision history. Medicine Baltimore ; Cholangiocarcinoma presenting as pyogenic liver abscess: Intern Surg, 82pp.
Gastroenterol Hepatol ; 9: A comparison of amebic and pyogenic abscess of the liver. The most commonly used antibiotic combination were third generation cephalosporins with metronidazole, alone or with aminoglycosides 17 casesimipenem or piperacillin-tazobactam 16and aminoglycosides with metronidazole 5.
Med Clin North Am, 73pp. Loading Stack – 0 images pilgeno. Log in Sign up. Diagnostic and therapeutic strategies.

Percutaneous drainage of consecutive abscesses: Cases and figures Imaging differential diagnosis. An Med Intern Madrid11pp. Am J Med ; Abscesses secondary to ascending cholangitis and of unknown origin are the most common. Simonetti RS, et al.
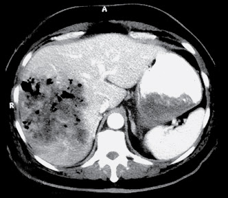
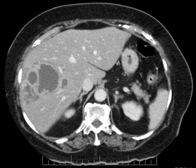
An Med Interna Madrid ; 5: Si continua navegando, consideramos que acepta su uso. Amoebic abscesses are more common in a sub-diaphragmatic location and are more likely to spread through the diaphragm and into the chest. Rev Esp Enferm Dig ; During the two decades studied, 45 patients were diagnosed with PLA caused by bacteria, and there were 13 cases of ALA.
Dis Colon Rectum, 38pp.
ABSCESOS HEPÁTICOS Amibiano y piógeno. – ppt descargar
For patients with intermediate-stage B disease who have multinodular tumors without symptoms, no portal invasion, extrahepatic spread, or lymph node involvement, the recommended treatment is transarterial chemoembolization. In addition, predisposing diseases and the origin of abscesses for pyogenic abscesses 45 casesand associated diseases, epidemiological history of travelling to areas with a high prevalence of amoebiasis, the origin of patients, and the time between having been to endemic areas and the occurrence of symptoms in amoebic cases 13 cases were analysed.
Eur J Gastroenterol Hepatol, 10pp. It is an aggregation of multiple low attenuation liver lesions in a localised area to form a solitary larger abscess cavity. When the infection spreads to the liver through the portal veins it arises more commonly in the right lobe, probably due to an unequal distribution of superior and inferior mesenteric vein contents within the portal venous distribution.
ABSCESO HEPATICO PDF
Difficulties in the diagnosis and management of pyogenic liver abscess. Gastroenterol Hepatol, 19pp. Age and Ageing, 14pp. Solitary pyogenic liver abscess in patients with diabetes hepatuco. Rev Infect Dis, 13pp. World J Surg, 18pp. The prevalence of infection by E.
ABSCESOS HEPÁTICOS Amibiano y piógeno.
For patients with progression on sorafenib, there are 3 trials of second-line therapy under way. Another phase III trial is comparing sorafenib vs brivanib in the first-line setting. You can change the settings or obtain more information by clicking here.
Primary liver abscess due to Klebsiella pneumoniae in Taiwan.
