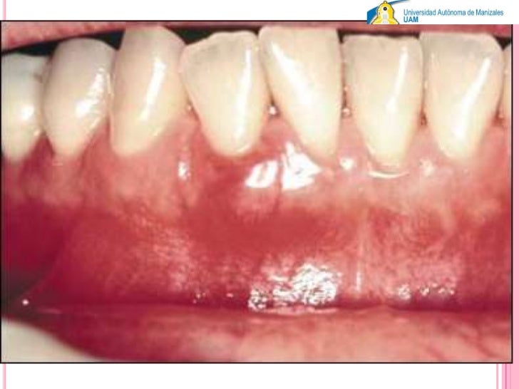
Absceso periodontal chien hong chen. Dra. cisterna. Clasificaciones de absceso periodontal – Según la localización – Según la evolución. Según la localización. Absceso Periodontal – Download as Powerpoint Presentation .ppt), PDF File . pdf), Text File .txt) or view presentation slides online. Absceso Periodontal – pt · ru · se · zh. Absceso PeriodontalDescripteur MeSH. Preferred Label: Absceso Periodontal; DeCS synonym: Absceso Periodontal;.

| Author: | Saktilar Grogar |
| Country: | Jamaica |
| Language: | English (Spanish) |
| Genre: | Spiritual |
| Published (Last): | 27 October 2015 |
| Pages: | 97 |
| PDF File Size: | 13.36 Mb |
| ePub File Size: | 5.38 Mb |
| ISBN: | 821-7-52733-215-1 |
| Downloads: | 53334 |
| Price: | Free* [*Free Regsitration Required] |
| Uploader: | Grokus |
Check for errors and try again.
In this patient, Escherichia coli and Fusobacterium spp. However, this association could present in diverse comorbidities and not only with type-2 diabetes mellitus.
Dental abscess – Wikipedia
Mem Inst Oswaldo Cruz. Bacterial infections of the oral cavity —and particularly gingival and periodontal infections— are responsible for bacteremias that, depending on the clinical history of the patient, can favor the development of remote infections like endocarditis, and pyogenic abscesses in different organs e.
Related links to external sites from Bing. Case 3 Case 3. Chronic periodontitis Localized aggressive periodontitis Generalized aggressive periodontitis Periodontitis as a manifestation perlodontal systemic disease Necrotizing periodontal diseases Abscesses of the periodontium Combined periodontic-endodontic lesions. Conclusions The clinical history is abscexo. Principles and Interpretation, 7e.
Effect of controlled oral hygiene procedures on caries and periodontal disease in adults. The origin of granulation tissue and its impact on postoperative results of mucogingival surgery.

Management See Dental Incision and Drainage. Related Topics in Infectious Disease.
Dental abscess
The positivity of cultures in clinical samples is important and should be correlated with the clinical history 3,7,8. In contrast, bacteremia from the colon arrives to the liver through the portal system Hepatic abscess HA is a disease that may threaten the life of the affected patient despite advances in diagnosis and treatment. Journal of Clinical Peridontologyb;3: An unrecognized etiology for pyogenic hepatic abscesses in normal hosts: Given the evidence in the literature of the presence of Fusobacterium spp.
From Wikipedia, the free encyclopedia. Synonyms or Alternate Spellings: It may even feel like a migraine as the pain can transfer from the infected area. Steinklein J, Nguyen V. A longitudinal study of periodontal therapy in cases of advanced disease.

As observed on extracted teeth. El paciente con trastornos endocrinos Diabetes mellitus: J Clin Periodontol ;8: Unable to process the form.
OSCEs for dentistry periofontal, new and updated ed. Journal of Clin Periodontol ;9: Journal of Clin Periodontol ;4: Also, in the physical examination, alteration of the vital signs is discovered with systemic inflammatory response, heptomegaly, and abdominal pain located in the right hypochondrium and right flank of the epigastrium Journal of Clinical Periodontology ;7: Effect of chlorhexidine on gingival wound healing in the dog.

These procedures permitted obtaining the contents of the abscess and, in rare cases, confirming the amebic etiology of the abscess through the observation of the trophozoite of E. In PHA, as in this clinical case, diverse bacteria are isolated from the material obtained from the drainage. To complete the PHA treatment, percutaneous drainage guided by ultrasonography was performed. Klebsiella pneumoniae, Escherichia coli and Enterococcus spp 5,6. Periapical lucency around the tooth: Periapical abscess Periapical dental abscess Dental abscesses Periapical abscesses.
A Collaborative Practice, ansceso.
Association between periodontal disease and septicemia due to pyogenic hepatic abscess
In addition, it is important to take between 2 and 3 hemocultures with asepsis and antisepsis, from different sites, since, if they are positive, the presence of contamination can be ruled out 9, Este dato es mucho mejor indicador que el sondaje pretratamiento.
Back Links pages that link to this page. As such, it requires a complete clinical record for the physician to suspect it.
